It might seem like no big deal to lose a tooth—especially if it’s in the back and out of sight. However, the truth is that delaying tooth replacement can trigger a chain reaction of problems that affect your entire mouth and jaw. At our full mouth rehab practice in Morton, IL, we help patients who waited “just a little too long” to fix a missing tooth—only to discover that one gap caused more damage than they expected.
To prevent that, understanding what happens when a missing tooth goes untreated is crucial.

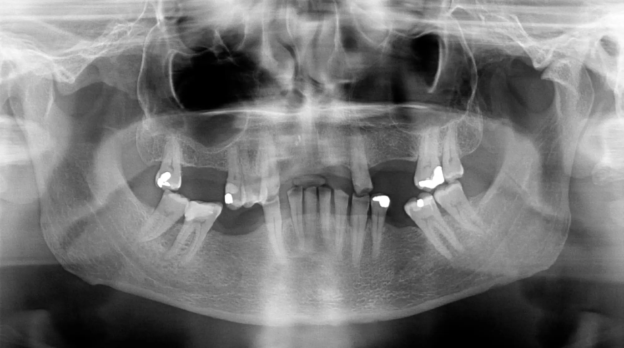
Why Waiting to Replace a Lost Tooth Can Lead to Bigger Issues
1. Your Jawbone Starts to Shrink
One of the most serious consequences of tooth loss is bone resorption, a process in which your jawbone begins to break down in the area where a tooth was lost. This happens because your teeth help stimulate your jawbone and keep it healthy, both from the blood vessels that go into your tooth, and the pressure provided by chewing that helps keep your bone strong.
Without that stimulation, the jawbone begins to break down the unused bone, causing degenerative changes.
Bone loss begins within the first few months after tooth loss, and once it starts, it’s difficult to reverse. Over time, this can weaken your bite, alter your facial structure, and complicate future tooth replacement options.
2. Your Other Teeth Begin to Shift
When a tooth goes missing, your other teeth don’t stay in place. They start drifting toward the space, throwing off your alignment and creating new gaps or crowding.
This can misalign your previously perfect smile and cause increased wear and tear on healthy teeth.
3. Your Face May Start to Sag
As the bone beneath your gums deteriorates, your cheeks and lips can begin to collapse inward. This leads to wrinkles around the mouth and a sunken or hollow appearance, resulting in premature aging overall.
By replacing the tooth promptly with a dental implant or other restorative solution, you can preserve bone density and maintain your facial structure.
4. Eating Becomes Difficult
A missing tooth can affect your ability to chew certain foods, especially if it’s a molar. Over time, you may start avoiding healthy foods like fruits, vegetables, and lean proteins—leading to nutritional deficiencies and digestive issues.
Some patients shift their bite to chew on one side of the mouth, which puts uneven pressure on their jaw and can lead to TMJ disorders or muscle fatigue.
5. Speech Can Be Affected
Depending on where the missing tooth is located, you might notice changes in your speech, such as slurred words, lisps, or difficulty pronouncing certain sounds. Even subtle shifts in the tongue’s position can make speaking more challenging and affect your confidence in social settings.

Don’t Wait for Dental Restorations—Protect Your Smile with Experts in Full Mouth Rehab in Morton, IL
If you’ve lost a tooth—or several—don’t wait. Prompt restoration helps maintain the function, health, and aesthetics of your entire mouth.
The sooner you act after tooth loss, the more options you have—and the less invasive (and expensive) treatment tends to be. If you’re missing a tooth or experiencing the ripple effects of past extractions, book a consultation with Smalltown Dental today, and let’s explore available options together!


.webp)








